Zum Inhalt

Fallberichte

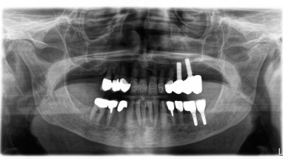
Sofortversorgung mit verschweißtem Metallgerüst

  • Fallbericht

Sofortbelastungskonzepte wie All-on-4/6 ermöglichen eine funktionelle und ästhetische Rehabilitation zahnloser Kiefer innerhalb kürzester Zeit. Das WeldOne-System nach Degidi erlaubt durch intraorale Schweißung von Titanverbindungen eine sofortige rigide Verblockung der Implantate, erfordert jedoch hohe technische Präzision. Ziel dieser Arbeit ist die Vorstellung einer modifizierten All-on-4/6-Technik, bei der kurze Titansegmente intraoral segmentweise verschweißt werden, um eine spannungsfreie, sofort belastbare Metallstruktur mit vereinfachter Handhabung zu schaffen.

Sofortimplantation mit Sofortbelastung

  • Fallbericht

Besonders in schwierigen, zahnlosen Ausgangssituationen wird zunehmend der Wunsch geäußert, neben einer langfristig stabilen Versorgung auch sofort provisorisch versorgt zu werden. Im hier dargestellten Fall wird eine Patientin Ende 70 in der Praxis vorstellig. Sie klagte über eine lockere Brücke im 1. Quadranten. In der klinischen Untersuchung zeigten sich verblockte Kronen auf den Zähnen 13, 14, 15 mit einer hohen Mobilität und eine Freiendsituation.

Implantat-getragene Full-arch-Rekonstruktion des Unterkiefers im rein digitalen Workflow (Link öffnet in neuem Fenster)

  • Fallbericht

Die implantologische Versorgung des atrophierten, zahnlosen Unterkiefers ist aufgrund des limitierten Knochenangebotes im Seitenzahnbereich häufig komplex. Die Insertion von schrägen Implantaten, die den Verlauf des N. alveolaris inferior umgehen, ist ein mittlerweile anerkanntes Konzept, um eine aufwendige Augmentation zu vermeiden. In diesem Fall zeigen wir, wie durch einen rein digitalen Workflow in Kombination mit der implantologischen Sofortversorgung die Behandlung als „one day treatment“ effizient umsetzbar ist.

Autologe Blockaugmentation im rechten Unterkiefer (Link öffnet in neuem Fenster)

  • Fallbericht

Dieser Fallbericht beschreibt die erfolgreiche Anwendung einer autologen Blockaugmentation im rechten Unterkiefer zur Wiederherstellung eines atrophierten Kieferkamms vor Implantatversorgung. Bei einer 60-jährigen Patientin wurde nach Zahnverlust ein erheblicher horizontaler Knochendefekt festgestellt, der mittels eines kortikospongiösen Knochenblocks aus der rechten Retromolarregion augmentiert wurde.

Rekonstruktion des Unterkiefers nach Trauma mithilfe von resorbierbarer Magnesiummembran und allogenem Knochen (Link öffnet in neuem Fenster)

  • Fallbericht

Das vorliegende Fallbeispiel zeigt, dass die Verwendung einer resorbierbaren Magnesiummembran in Kombination mit allogenem Knochenmaterial eine effektive Methode zur Rekonstruktion eines atrophierten Kieferknochens in der Unterkieferfront nach Trauma darstellt. Die hier verwendeten Keramikimplantate sind eine Alternative zu herkömmlichen Titanimplantaten, wobei die Erfahrungen hinsichtlich des Langzeitüberlebens der Keramikimplantate noch begrenzt sind.

Implantologische Versorgung des kompromittierten Ober- und Unterkiefers im digitalen Workflow (Link öffnet in neuem Fenster)

  • Fallbericht

Die Rehabilitation von Ober- und Unterkiefer mithilfe von Implantaten stellt bei geringem Knochenangebot und insuffizienter Erstversorgung eine hohe Anforderung dar. Digitale Abformungen bei komplexen implantologischen Rekonstruktionen im zahnlosen Kiefer sind vielversprechend und erleichtern sowohl dem Behandler als auch dem Patienten die einzelnen Behandlungssitzungen.

Sofortversorgung einer schmalen Einzelzahnlücke in der ästhetisch relevanten Zone mit einem einteiligen Keramikimplantat (Link öffnet in neuem Fenster)

  • Fallbericht

Die implantologische Versorgung einer Einzelzahnlücke im Frontzahnbereich ist eine der größten Herausforderungen in der zahnärztlichen Praxis. Sofortimplantationen mit sofortiger provisorischer Versorgung sind sehr komplex und sollten daher sorgfältig geplant werden. Ist eine Sofortversorgung möglich, reduzieren sich der Behandlungsaufwand, die Behandlungsdauer und die Kosten für den Patienten deutlich.

Positionsveränderung von Implantaten unbekannter Genese (Link öffnet in neuem Fenster)

  • Fallbericht

Osseointegrierte Implantate gelten als ortsstabil, sodass man davon ausgehen kann, dass einmal gesetzte Implantate ihre Position nicht verändern. Sie sind daher auch als Anker in der Kieferorthopädie geeignet, um mit ihrer Hilfe Zahnbewegungen durchzuführen. Umso erstaunlicher ist die folgende beobachtete Positionsveränderung eines Implantates im Unterkiefer.

Sofortimplantation im Seitenzahnbereich und Versorgung mit einem individuellen Healing Abutment (Link öffnet in neuem Fenster)

  • Fallbericht

Die Sofortimplantation stellt mittlerweile eine etablierte Therapie mit vielen Vorteilen für Patienten und das Behandlungsergebnis dar. Patienten profitieren von einer kürzeren Zeit bis zur Versorgung, die Notwendigkeit und der Aufwand eines herausnehmbaren provisorischen Zahnersatzes entfallen, die Behandlung ist weniger invasiv, schmerzfreier, schwellungsärmer und erfordert weniger Sitzungen als ein konventionelles Vorgehen.

Hart- und weichgewebserhaltende Extraktion und Implantation (Link öffnet in neuem Fenster)

  • Fallbericht

Für den Erfolg einer Sofortimplantation kommt es auf genügend apikales Knochengewebe und auf ausreichend Platz für das Weichgewebe im Übergangsbereich zur Prothetik an. Gute Voraussetzungen schafft eine atraumatische Extraktion, und dennoch empfiehlt es sich, für verschiedene Eventualitäten einen Plan B (und Plan C, Plan D etc.) vorzuhalten.

Implantologisch-prothetische Rehabilitation bei Oligodontie (Link öffnet in neuem Fenster)

  • Fallbericht

Die Oligodontie ist ein seltenes Krankheitsbild, dessen Leitsymptom die multiple Nichtanlage von bleibenden Zähnen ist. Die Ausprägung dieser Entwicklungsstörung einschließlich einer möglichen zusätzlichen Nichtanlage oder konsekutiven Persistenz von Milchzähnen ist sehr variabel und reicht von der Nichtanlage einzelner Zähne bis zur vollständigen Anodontie. In der Folge stellt sich sehr frühzeitig die Frage nach einer zahnprothetischen Versorgung, alternativ oder zusätzlich können auch kieferorthopädische Maßnahmen sinnvoll sein. Eine Kasuistik mit langer Verlaufskontrolle.

Patientenspezifisches 3D-gefertigtes Gerüstimplantat nach Hemimaxillektomie (Link öffnet in neuem Fenster)

  • Fallbericht

Wo die konventionelle zahnärztliche Implantologie ihre Grenzen hat, können Patienten von den Fortschritten auf den Gebieten der Bildgebung, präoperativen Planung und computerassistierten Chirurgie profitieren. Dadurch hat sich die Möglichkeit ergeben, auch bei insuffizientem Hart- und Weichgewebe eine funktionsstabile dentale Sofortrehabilitation zu erzielen.

Komplexe implantologische Rehabilitation in der ästhetischen Zone (Link öffnet in neuem Fenster)

  • Fallbericht

Präimplantologische Techniken umfassen eine Vielzahl von Verfahren, die darauf abzielen, die anatomischen, funktionellen und ästhetischen Bedingungen im Bereich des geplanten Implantats zu optimieren. Hart- und Weichgewebsmanagement in der Implantologie bedeuten nicht in jedem Fall, dass umfangreiche oder vielzählige chirurgische Eingriffe notwendig sind. In diesem Fall wird die Therapie mittels Magnetextrusion und endodontischer Behandlung beschrieben.

Implantologische Erweiterung von Teleskop- und Konuskronenprothesen unter Verwendung bestehender Primärteile (Link öffnet in neuem Fenster)

  • Fallbericht

Durch Teleskop- und Konuskronen verankerte Teil- und Vollprothesen erfreuen sich auch in Zeiten der Implantologie großer Beliebtheit. Ihrem meist guten Sitz und ihrer langen Lebensdauer stehen ein nicht seltener Verlust von Pfeilerzähnen, insbesondere durch Karies oder Frakturen gegenüber. Der vorliegende Beitrag beschreibt einen konventionellen Workflow, um solche Zähne vorhersagbar durch Implantate zu ersetzen, ohne die Friktion der Arbeit zu verlieren. Beschrieben wird der Arbeitsablauf in Zahnarztpraxis und Dentallabor anhand eines Patientenfalls. Abschließend findet sich eine Checkliste für eine ideale Fallauswahl und Behandlungsdurchführung.

Implantologische Erweiterung einer Konuskronenprothese nach Zahnfraktur unter Verwendung des bestehenden Primärteils (Link öffnet in neuem Fenster)

  • Fallbericht

In diesem Fallbericht erfahren Sie, wie eine Doppelkronenprothese nach einer Pfeilerfraktur implantologisch erhalten werden konnte. Frakturierte, endständige Pfeilerzähne von Doppelkronenprothesen führen regelmäßig zu Frust bei Behandler und Patient. Nicht nur geht ein Zahn verloren, v. a. ist die Prothese hinterher nicht mehr so stabil wie vorher, wenn sie denn überhaupt zu retten ist. Der vorliegende Fallbericht zeigt eine Möglichkeit, frakturierte Zähne durch Implantate zu ersetzen und dabei den Zahnersatz einschließlich des vorhandenen Primärteils unverändert weiter zu nutzen.

Vier-Quadranten-Rehabilitation nach parodontal-funktioneller und kariöser Schädigung (Link öffnet in neuem Fenster)

  • Fallbericht

Der Anteil an Patienten mit Abrasionen/Attritionen/Erosionen und/oder Parafunktionen erhöht sich ständig. Bei diesen Patienten ist es wichtig, die Sicherung der statischen sowie der dynamischen Okklusion zu gewährleisten, um das Risiko einer Überlastung/Schädigung des Kauorgans zu minimieren.

Verspäteter Lückenschluss in der Unterkiefer Front (Link öffnet in neuem Fenster)

  • Fallbericht

In der vorliegenden Fallbeschreibung wird die Sofortimplantation in regio 32 und 42 mit gleichzeitiger GBR und der provisorischen Versorgung mittels Kunststoffklebebrücke und anschließende Versorgung der Spaltlücke mit einer Lithiumdisilikatbrücke dargestellt.

Bildnachweise
Sofortversorgung mit verschweißtem Metallgerüst - Abbildung 13/© Johannes Petschelt, Sofortimplantation mit Sofortbelastung - Abbildung 1/© Rudolf Kraus, Digitales Ergebnisbild eines präoperativen Scans Unterkiefer: Zahnloser Kieferkamm. Von links nach rechts sind die Positionen 46, 44, 33, 36 markiert/© F. Stelzle | ZI Zahnärztliche Implantologie (2)·2:92-96, Inseriertes Implantat regio 36 nach Entfernung der Osteosyntheseschrauben. Im Kieferkamm ist ein Knochenblocktransplantat sichtbar/© M. Masthoff | ZI Zahnärztliche Implantologie (2)·2:80-84, Bild einer dreidimensionalen digitaler Volumentomographie: Kiefer und Zähne sind zu sehen. Im Unterkiefer fehlen Zähne 33-44./© Universitätsmedizin Mainz, Bild intraoral eines Oberkiefers mit Scanbodies/© Inga Boehncke | ZI Zahnärztliche Implantologie (2)·1:34-40, Ausgangssituation: Zahn 41 mit Komposit-Eckenaufbau/© D. Butzmann | ZI Zahnärztliche Implantologie (1)·4:224-227, Einzelröntgenaufnahme: regio 36 und 37 wurden 2 Straumann-Implantate RN 4,1 mit der Länge 10 mm gesetzt/© Frank Sahm | ZI Zahnärztliche Implantologie (1)·4:212-213, Eingesetztes Individuelles Healing Abutment und Weichgewebsstabilisierung. Das Abutment dichtet die Alveole vollständig ab./© N. Erhard, T. Erhard-Sosna, R. Sader, J. Lorenz | ZI Zahnärztliche Implantologie (1)·4:214-223, Während die Quadrantenstütze des Vertikalextraktorsystems auf den Zähnen 12, 13, 22 und 23 aufliegt, wird Zahn 21 mit einer Seilwinde nach dem Flaschenzugprinzip herausgezogen/© S. Kistler | ZI Zahnärztliche Implantologie (1)·4:228-237, Klinischer Befund: prothetische Versorgung Regio 14, 13, 23, 24 und 34, 33, 43, 44, 28 Jahre post operation/© A. Koch, A. Nitsch, F. Danneil | ZI Zahnärztliche Implantologie (1)·2:90-92, Postoperative 3D-Rekonstruktion der Digitalen Volumentomographie. Zu erkennen sind das patientenspezifische Implantat (PSI) und seine Verankerung am Jochbeinkörper sowie der paranasalen und anterioren Maxilla/© F.S. Siegberg, P. W. Kämmerer, B. Al-Nawas, D. G. E. Thiem | ZI Zahnärztliche Implantologie (1)·2:84-88, Oberkiefer: Hart und Weichgewebsdefizit. Zusätzlicher tiefer knöcherner Defekt von 5 mm mesial des Zahns 22/© A. Rudolph | ZI Zahnärztliche Implantologie (1)·2:108-111, Zahnersatz in situ vor abschließender Unterfütterung mit Randerweiterung/© J. Behring | ZI Zahnärztliche Implantologie (1)·2:100-106, Frakturierter Zahn 34 in situ/© J. Behring | ZI Zahnärztliche Implantologie (1)·1:40-43, Front in Okklusion/© S. Egger, M. Greven, Ch. Berg | ZI Zahnärztliche Implantologie (1)·1:20-27, Fallbericht - Verspäteter Lückenschluss - Abb1/© R. Kraus | ZI-Zahnärztliche Implantologie (1) : S.38-42, Wahl des Analgetikums in der Zahnmedizin/© Heimes D, Kämmerer PW (2023) Analgetika in der Zahnmedizin. wissen kompakt. DOI 10.1007/s11838-023-00174-y / Springer Medizin, Antibiotika in Therapie und Praxis/© J. Heider, B. Al-Nawas (2023) Antibiotika - Update. wissen kompakt. DOI 10.1007/s11838-023-00177-9 / Springer Medizin, One Minute Wonder: Intraligamentäre Anästhesie/© Springer Medizin Verlag GmbH, One Minute Wonder: Spenderknochen für die Kieferregeneration, One Minute Wonder: Subperiostale Implantate/© A.-K.Bär, Ph. Becker | ZI Zahnärztliche Implantologie (1)·4:239, One Minute Wonder: Vitamin-D-Essentials: Das Wichtigste im Überblick, One Minute Wonder: Weichgewebsverdickung an Implantaten, One Minute Wonder: Xenogenes Knochenersatzmaterial bei der Alveolarkammaugmentation/© Ph. Becker, A. Pabst, A.-K.Bär | ZI Zahnärztliche Implantologie (1)·4:211