Zum Inhalt

No Page Title

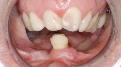
Implantatversorgung bei seltenen Erkrankungen mit orofazialer Beteiligung (Link öffnet in neuem Fenster)

In diesem Fortbildungsbeitrag stellen wir die Möglichkeiten der oralen Rehabilitation mit dentalen Implantaten bei Personen mit seltenen Erkrankungen dar. Für Ektodermale Dysplasie, Singleton-Merten-Syndrom, Achondroplasie, Pierre-Robin-Syndrom und Hanhart-Syndrom klären wir die zahnmedizinischen Aspekte hinsichtlich deren Merkmale und Komplikationen sowie die Indikationsstellungen für Implantate je nach Alter und Schweregrad der Erkrankung.

zum Beitrag
Bildnachweise
Frontale Ansicht des Gebisses einer Person mit Hanhart-Syndrom in Okklusion und stark reduzierter Bezahnung und reduziertem Kieferkamm im Unterkiefer/© G. Trento, T. Joanning, H. Parize, L. Daume, J. Kleinheinz | ZI Zahnärztliche Implantologie (2)·3:164-171