Zum Inhalt

No Page Title

Superhart und dennoch vulnerabel (Link öffnet in neuem Fenster)

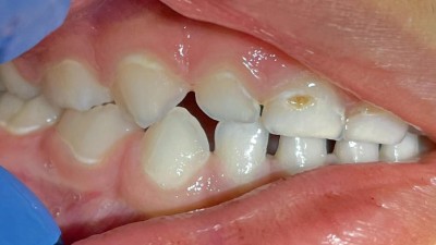
Zahnhartsubstanzdefekte begegnen dem zahnärztlichen Personal in nahezu jedem Mund auf unterschiedliche Weise - mal als White Spots, mal als abradierte Kauflächen. Bei mechanischer Abnutzung ist der natürliche Substanzverlust irreversibel und kann in der Regel nur restaurativ wieder hergestellt werden. Anders sieht es bei kariösen Zahnhartsubstanzdefekten aus. Hier können im Frühstadium bestimmte Hilfsmittel eine Remineralisierung der angegriffenen Oberfläche bewirken.

zum Beitrag
Bildnachweise
Demineralisierungen an den Zahnhalsrändern und aktive Karies am Zahn 51/© A. Wolf | Die junge Zahnmedizin (15)·6:16-19